Comunicaciones: Casos clínicos

Diagnóstico de TVP en consulta de Atención Primaria (Póster)

Ámbito del caso (Atención Primaria, servicios de Urgencias o atención domiciliaria)

Atención Primaria y Urgencias.

Motivos de consulta

Inflamación de pierna derecha de varios días de evolución con mejoría progresiva. Tiene molestias leves y el edema no le impide realizar su actividad habitual en el campo.

Historia clínica

Enfoque individual: antecedentes personales, anamnesis, exploración, pruebas complementarias, etc.

Hombre de 86 años con AP de HTA, hiperuricemia y obesidad, independiente para actividades básicas de vida diaria y con vida activa.

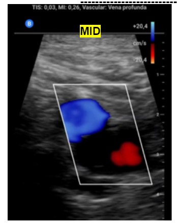
En la exploración se aprecia MID con un evidente mayor tamaño que el izquierdo, más enrojecido y con edema que deja fóvea hasta mitad de muslo (3 puntos en la escala de Wells).

Ante la sospecha de Trombosis venosa profunda realizamos ecografía de compresión venosa de miembros inferiores detectando la falta de colapsabilidad de la femoral común y femoral superficial del miembro inferior derecho, cosa que no pasaba en el izquierdo.

Enfoque familiar y comunitario: estudio de la familia y la comunidad (si fuese necesario)

No requiere.

Juicio clínico, diagnóstico diferencial, identificación de problemas

Trombosis venosa profunda (TVP).
Diagnóstico diferencial: Celulitis, linfedema.

Tratamiento y planes de actuación.

Ante el hallazgo ecográfico iniciamos anticoagulación oral durante 3-6 meses, evitando derivar al paciente a urgencias ni a atención hospitalaria. 
Informamos al paciente que se prefiere un anticoagulante de acción directa (ACOD) a un antivitamina K (AVK), pero que el Sistema Nacional de Salud en España no financia en el momento actual los ACOD con esta indicación.
Nuestro paciente optó por ACOD y prescribimos Apixabán 5 mg/12 h.

Evolución

Actualmente lleva mes y medio con anticoagulación oral y la sintomatología ha desaparecido.

Conclusiones y aplicabilidad para la medicina de familia

Disponer de un ecógrafo en los centros de Atención Primaria y tener formación en dicho campo, nos permite diagnosticar a los pacientes de patologías que, de otro modo, tendrían que haber sido valorados y tratados en urgencias hospitalarias. Suponiendo así una mayor eficacia y ahorro de tiempo y recursos.

 
 

Comunicaciones y ponencias semFYC: 2025; Comunicaciones: Casos clínicos. ISSN: 2339-9333

Autores

Azoguil López, Luis Miguel
Bollullos de la Mitación. Sevilla
Ávila Pecci, Patricia
Sanlúcar La Mayor. Sevilla
Moreno Navarro, Barbara
Bollullos de la Mitación. Sevilla