V Jornadas de Ecografía de la semFYC

9 y 10 de febrero de 2024

Comunicaciones: Casos clínicos

Diagnóstico y manejo de absceso renal por ecografía desde Atención Primaria (póster)

Ámbito del caso

Atención Primaria.

Motivos de consulta

Fiebre y dolor en fosa renal izquierda.

Historia clínica

Enfoque individual

Mujer de 52 años, sin alergias medicamentosas conocidas. Como antecedentes médicos destacan hipertensión arterial y dislipemia, ambas en tratamiento. Como antecedentes quirúrgicos destacan múltiples polipectomías.

La paciente es valorada en teleconsulta y refiere dolor en fosa renal izquierda con poliaquiuria de varios días de evolución y fiebre. Se cita en consulta presencial y en la exploración física destaca dolor a la palpación en fosa renal izquierda con signo de puño-percusión positiva asociada.

Con estos hallazgos, se decide realizar ecografía para valoración de riñones y vía urinaria.

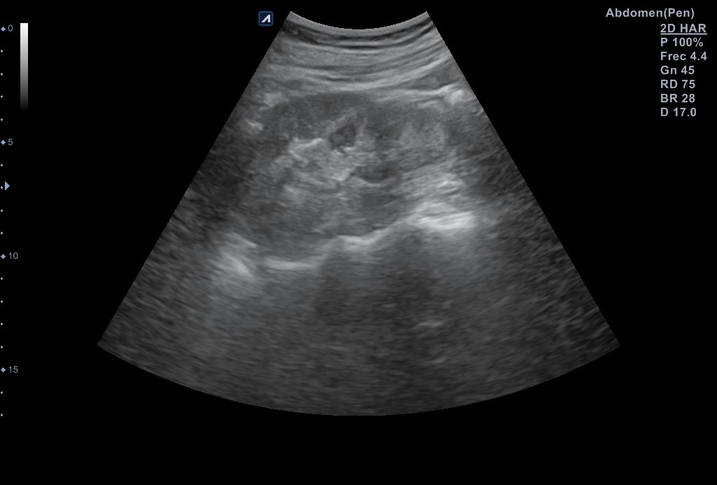
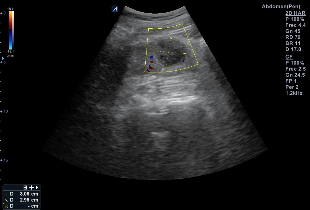
Hallazgos ecográficos

Ecografía vía urinaria: se evidencia una lesión en el tercio inferior de riñón izquierdo de aspecto quístico multiseptada, con polo sólido compatible con quiste Bosniak 3 de 30 x 29 mm que no capta Doppler, compatible en este contexto con absceso renal o neoformación renal. No otras alteraciones en resto del tracto urinario.

Pruebas complementarias

Combur-Test: Leucocitos +++, Hematíes ++++.

Juicio clínico, diagnóstico diferencial, identificación de problemas

Juicio clínico: cólico renal izquierdo complicado con sospecha de absceso intrarrenal izquierdo vs neoformación renal.

Tratamiento y planes de actuación

Dados los hallazgos se pauta tratamiento sintomático para el dolor y tratamiento antibiótico de amplio espectro durante 7 días. Se solicita valoración preferente por el servicio de Urología, y se cita revisión en consulta en 15 días.

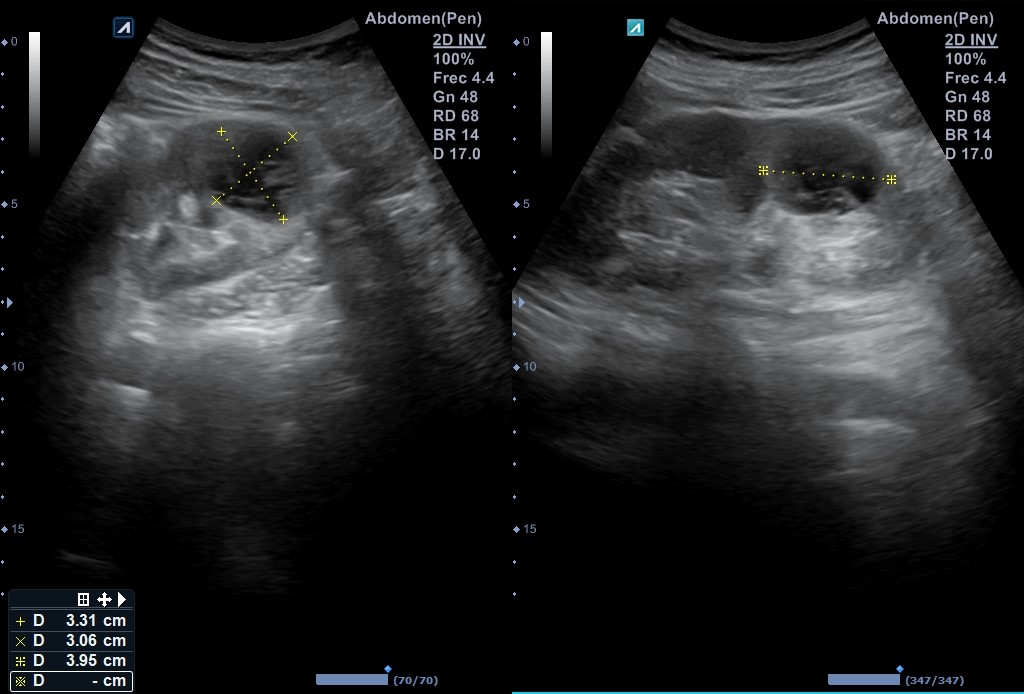
Evolución

Se reevalúa a la paciente en consulta 2 semanas después, que refiere mejoría sintomática. Se repite la ecografía evidenciándose imágenes de riñón izquierdo sano y ausencia de la lesión previamente descrita.

Tras ser valorada por el Servicio de Urología, se solicita TC abdomino-pélvico con contraste, donde se confirma la ausencia de colección y en el que describieron como únicos hallazgos patológicos una nefrolitiasis izquierda de 5 mm sin uropatía obstructiva asociada y múltiples quistes renales bilaterales.

De este modo se confirma el diagnóstico de sospecha de absceso renal, con buena evolución y actualmente resuelto.

Conclusiones (y aplicabilidad para la Medicina de Familia)

El dolor en fosa renal es un motivo habitual de consulta en Urgencias y en Atención Primaria, y casos como el de nuestra paciente demuestran el importante papel de la ecografía para el diagnóstico precoz y tratamiento eficaz de esta patología, garantizando mayor autonomía y mejor manejo de nuestros pacientes. 
 
 
 
 

Comunicaciones y ponencias semFYC: 2025; Comunicaciones: Casos clínicos. ISSN: 2339-9333

Autores

Gervás Nieto, Patricia
CS de Calzada de Calatrava. Ciudad Real