Comunicaciones: Casos clínicos

«Doctor, este no es mi cuello» (Póster)

Ámbito del caso (Atención Primaria, servicios de Urgencias o atención domiciliaria)

Atención Primaria.

Motivos de consulta

Paciente mujer de 63 años que refiere aumento de volumen cervical anterior derecho.

Historia clínica

Antecedentes personales relevantes, anamnesis, exploración física y lugar que ocupa en ella la ecografía

Paciente mujer de 63 años con antecedente personal de tiroiditis de Hashimoto y aumento de la grasa peritiroidea derecha que acude a consulta de su médico de familia por notarse aumento de volumen cervical anterior derecho de alrededor de una semana de evolución, negando dolor u otra clínica. A la exploración se palpa bocio ya conocido, con aumento de volumen cervical anterior derecho respecto de izquierdo, sin distinguir masa clara a la palpación. Es por la falta de claridad en la palpación que se decide realizar ecografía exploratoria durante el mismo acto clínico.

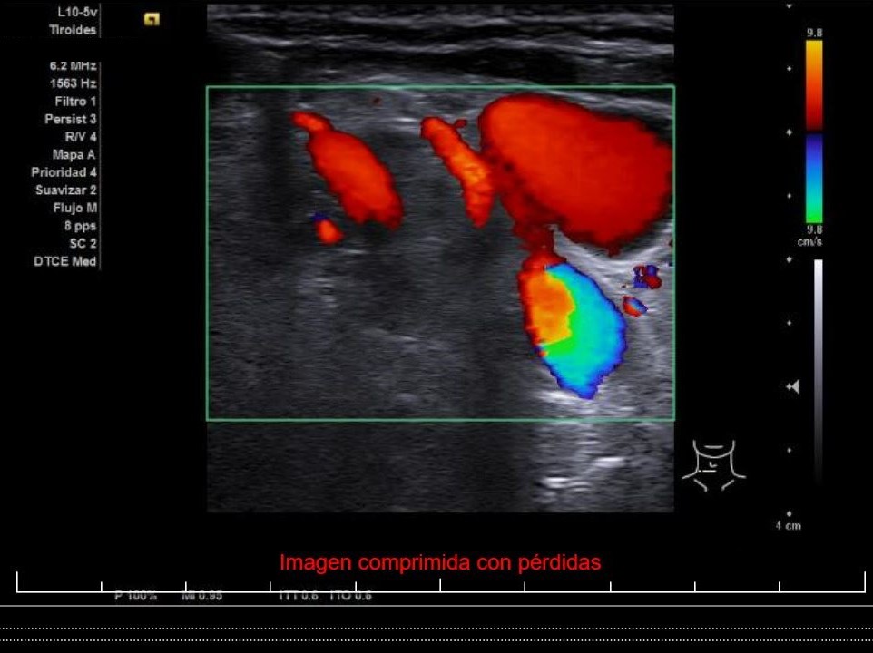
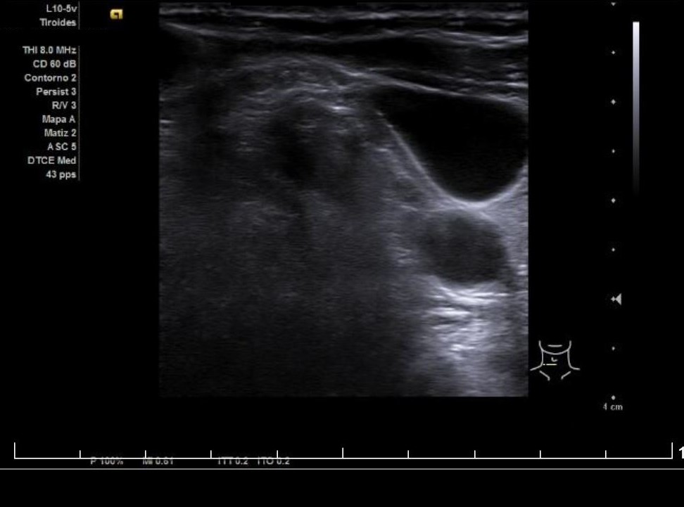
Descripción de los hallazgos ecográficos y las imágenes más relevantes para la resolución del caso

Se aprecia un tiroides de características ecográficas compatibles con tiroiditis, sin cambios respecto a ecografía previa, al igual que la grasa peritiroidea derecha, pero de manera incidental se observa un aumento del calibre fusiforme de la yugular externa derecha con respecto a la izquierda, con flujo vascular reducido.

Otras pruebas complementarias realizadas (si existen)

Ante la sospecha clínica y ecográfica de trombosis o flebectasia yugular se derivó a la paciente a urgencias, donde se realizó una ecografía reglada informada como normal, además de Eco-Doppler de troncos supraórticos también informada como normal.

Juicio clínico, diagnóstico diferencial, concordancia con el hospital (en su caso)

Flebectasia yugular derecha.

Decisiones adoptadas: tratamiento, planes de actuación

Tratamiento conservador.

Evolución y seguimiento

La paciente se mantiene asintomática por el momento.

Conclusiones y aplicabilidad para la medicina de familia

La flebectasia yugular es la dilatación fusiforme o sacular de la vena, de etiología desconocida, diagnosticada habitualmente en la infancia, rara en adultos, secundaria a la delgadez de las paredes del vaso y que se hace evidente en situaciones en las que aumenta la presión dentro del mismo. Habitualmente se presenta como una masa blanda e indolora en el cuello, en ocasiones pulsátil y que varía de tamaño con las maniobras de Valsalva. De mayor a menor frecuencia se encuentra en la yugular interna, la externa y la anterior. El tratamiento de elección es el conservador.

En Atención Primaria tenemos que mantenernos alerta para diagnosticar lo más precozmente a nuestros pacientes, incluso en estadios presintomáticos, y para esto la ecografía clínica nos resulta una herramienta fundamental, que además puede aportar datos sobre la urgencia con la que deben de tomarse medidas.

 


Comunicaciones y ponencias semFYC: 2025; Comunicaciones: Casos clínicos. ISSN: 2339-9333

Autores

Salvador De La Rosa, Enrique Juan
CS San Antón. Cartagena, Murcia
Peña Doncel Moriano, José Antonio
CS San Antón. Cartagena, Murcia
Alonso Pérez, Juana María
CS San Antón. Cartagena, Murcia