V Jornadas de Ecografía de la semFYC

9 y 10 de febrero de 2024

Comunicaciones: Casos clínicos

«Doctor, no me encuentro bien» (póster)

Ámbito del caso

Consulta de Atención Primaria

Motivos de consulta

Varón de 78 años refiere cuadro de disconfort abdominal, hiporexia y pérdida de peso de 6 kg de 1 mes de evolución. Comenta náuseas ocasionales sin vómitos ni deposiciones diarreicas asociadas. Niega fiebre, acolia ni coluria.

Historia clínica

Enfoque individual

Fumador 6 cigarrillos/día desde hace 60 años y bebedor de 1 cerveza/día, con antecedente personal de Diabetes Mellitus tipo 2 y nefrectomía radical derecha por Carcinoma de células claras.

En la exploración física se objetiva abdomen blando, no doloroso a la palpación, sin masas, megalias, ni signos de irritación peritoneal.

Hallazgos ecográficos

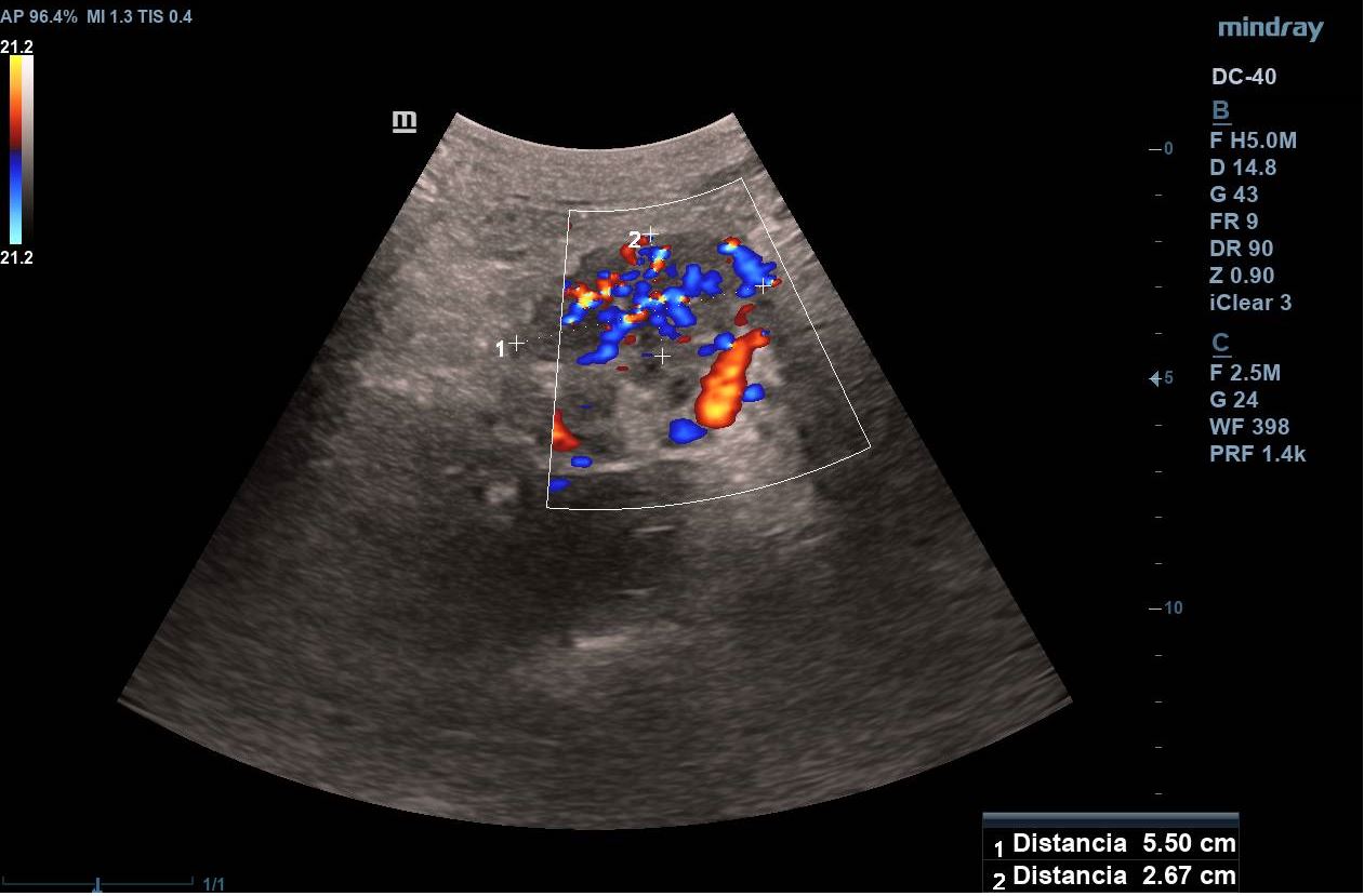
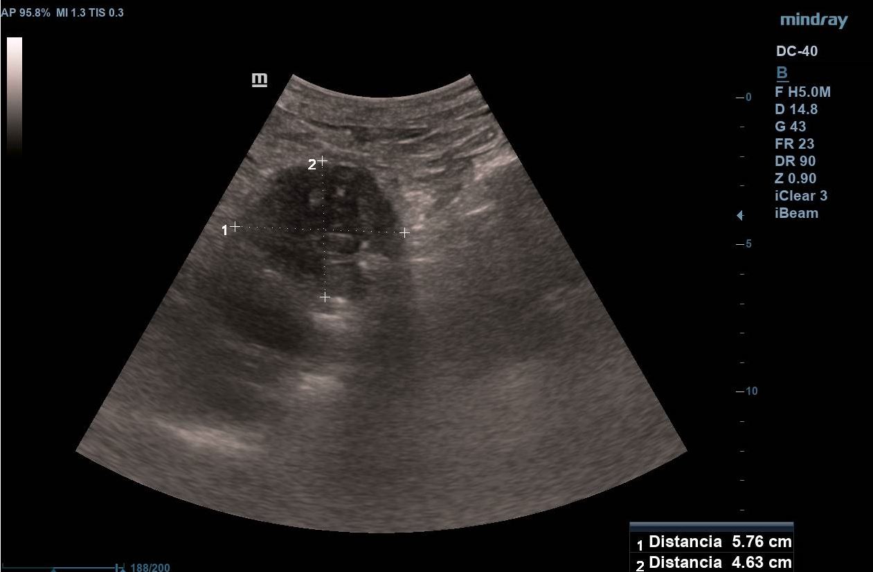
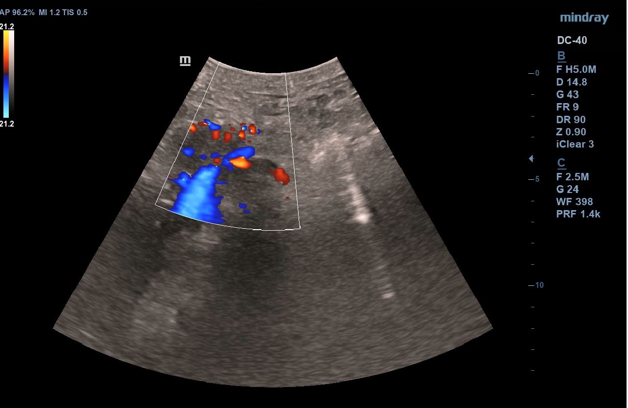
Se realiza ecografía clínica abdominal visualizando en región epigástrica masa de 5,7 x 4,6 cm de aspecto heterogéneo, con un componente principal hipoecogénico y áreas de mayor intensidad. Presenta mapa color positivo y dilatación de colédoco.

Pruebas complementarias

Posteriormente se solicita analítica sanguínea urgente, destacando elevación de enzimas de colestasis (GGT 866 U/L, FA 458 U/L) y radiografía de tórax, sin alteraciones. 

Juicio clínico, diagnóstico diferencial, identificación de problemas

Ante estos hallazgos se deriva al paciente a Medicina Interna de forma preferente.

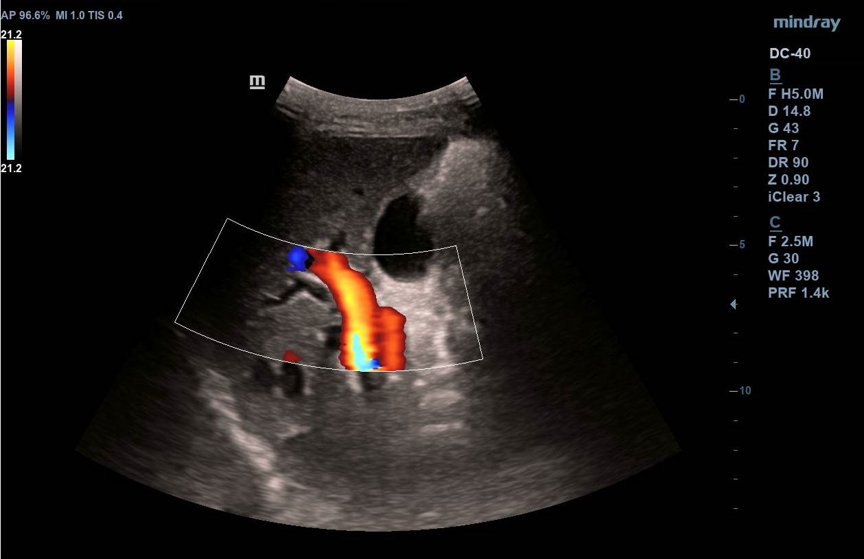
Se inicia estudio, confirmando en ecografía abdominal reglada la presencia de una masa sólida en cabeza-cuello pancreático de 5 x 4 cm con dilatación de la vía biliar intra y extrahepática y en TAC toraco-abdomino-pélvico masa hipervascular en cabeza y cuerpo pancreático con áreas de degeneración quística, dilatación del árbol biliar y atrofia del páncreas distal. Posteriormente, se realiza una ecoendoscopia en la que se informa de una masa pancreática con engrosamiento de la papila duodenal, así como dilatación de la vía biliar extrahepática.

Tratamiento y planes de actuación

Finalmente, mediante biopsia se obtiene el diagnóstico de Carcinoma de páncreas borderline T4N0M0 y se coloca una prótesis biliar plástica mediante Colangiopancreatografía retrógrada endoscópica.

Evolución

Se inicia tratamiento quimioterápico con Gemcitabina + Abraxane, añadiendo posteriormente Somatostatina tras objetivar en Octeoscan que la masa expresa dichos receptores.

Conclusiones (y aplicabilidad para la Medicina de Familia)

Gracias a la disposición de un ecógrafo en la consulta y a la formación en ecografía del médico de Atención Primaria se ha podido detectar la presencia de una masa pancreática y derivar al paciente a las consultas de diagnóstico rápido de Medicina Interna para ampliar estudio e iniciar tratamiento con la mayor brevedad posible.


Comunicaciones y ponencias semFYC: 2025; Comunicaciones: Casos clínicos. ISSN: 2339-9333

Autores

González de la Mano, Sara
CS María Ángeles López Gómez. Leganés
Ibarra Eztala, Miren
CS María Ángeles López Gómez. Leganés
Perales González, Fernando
CS María Ángeles López Gómez. Leganés