V Jornadas de Ecografía de la semFYC

9 y 10 de febrero de 2024

Comunicaciones: Casos clínicos

«Doctora, ¡me duele la barriga! ¡Seguro que tengo alguna enfermedad!» (póster)

Ámbito del caso

Atención Primaria

Motivos de consulta

Molestia abdominal.

Mujer de 63 años, acude a nuestra nuestra consulta por molestias abdominales de un mes de evolución, sin relación con las comidas, sin vómitos ni alteración de tránsito gastrointestinal, con alto nivel de preocupación por presentar antecedentes familiares neoplásicos (cáncer de esófago y pancreas).

Historia clínica

Enfoque individual

Sin reacciones alérgicas medicamentosas conocidas. Niega hábitos tóxicos.
Dislipemia en tratamiento con simvastatina, un comprimido de 10 mg diario y hernia discal L5-S1 que palia con analgesia de primer escalón a demanda.

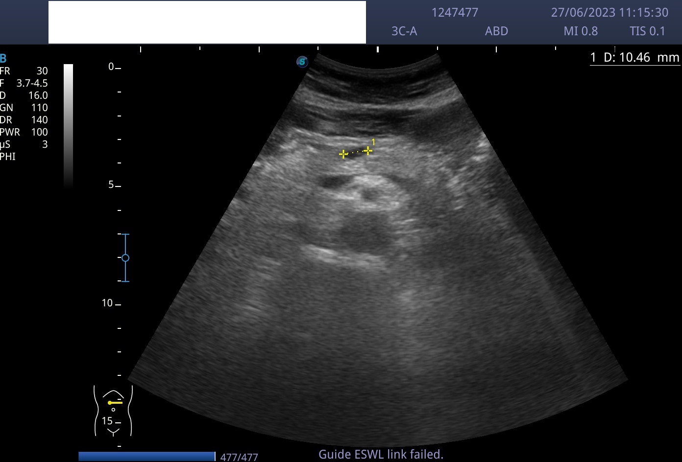
Hallazgos ecográficos

Lesión anecoica bien circunscrita de paredes lisas, con refuerzo posterior, de 1 cm de longitud, localizada en cuerpo pancreático, sin captación Doppler.

Pruebas complementarias

Análisis sanguíneo sin hallazgos patológicos (incluyendo hemograma, perfil renal, hepático-pancreático y tiroideo). 
Ecografía abdominal reglada en Hospital de referencia con misma sospecha clínica que la realizada en Atención Pirmaria.

Juicio clínico, diagnóstico diferencial, identificación de problemas

Quiste pancreático.

Pseudoquiste: imagen anecoica/hipoecoica, borde lisos con o sin tabicaciones/detritus en su interior, 70% en cuerpo pancreático. No captación Doppler. 
Cistoadenoma seroso: Sin captación Doppler

  • Microquístico o «en panal de abeja»: múltiples quistes anecoicos/hipoecoicos. Cabeza pancreática.
  • Macroquístico: quistes mayores a 2 cm. Cuerpo pancrático.

Cistoadenoma mucinoso: heterogénea, septos irregulares, con calcificaciones, cuerpo y cola pancreático. Captación Doppler.
Carcinoma papilar intraductal: heteroecoico, bordes irregulares, calcificaciones, conducto Wirsung dilatado, mayor de 2 mm. Captación Doppler.

Tratamiento y planes de actuación

Observación. Control ecográfico reglado tri-semestral.

Evolución

Sin cambios.

Conclusiones (y aplicabilidad para la Medicina de Familia)

Ya que la Atención Primaria se considera la puerta de entrada para la mayoría de las patologías, disponer en nuestros centros de ecófragos y tener la oportundiad de familiarizarnos con ellos, nos permite el diagnóstico de sospecha y seguimiento de numerosas patologías, en muchos casos silentes, cuyo diagnóstico precoz puede ser crucial para el pronóstico del paciente.

Nuestro caso radica en la importancia del seguimiento de los quistes pancréaticos ya que en muchas ocasiones, la sospecha diagnóstica es discutible, implicando distintas actitudes a seguir en función de las caracteríticas con el seguimiento. Además, recordar la importancia de no infravalorar las preocupaciones de nuestros pacientes.

 


Comunicaciones y ponencias semFYC: 2025; Comunicaciones: Casos clínicos. ISSN: 2339-9333

Autores

Andrade Almécija, Ana
CS Trinidad Jesús Cautivo. Málaga
González Diez, Inés
CS Elviña Mesoiro. A Coruña