V Jornadas de Ecografía de la semFYC

9 y 10 de febrero de 2024

Comunicaciones: Casos clínicos

Ecografía torácica en paciente no colaborador con patología respiratoria (póster)

Ámbito del caso

Servicio de Urgencias

Motivos de consulta

Tos seca y fiebre.

Historia clínica

Enfoque individual

Antecedentes:
  • Encefalopatía anóxica perinatal con retraso mental severo secundario.
  • Amaurosis bilateral.
Anamnesis:

Paciente mujer de 33 años que acude a urgencias por tos seca y fiebre de hasta 38,5 ºC, de unas 3 semanas de evolución. Fue valorada en urgencias, siendo diagnosticada de Faringitis aguda, y pautándose Azitromicina 500 mg 1/24H 3 días (terminando hace 5 días la pauta), la familia refiere leve mejoría durante el tratamiento.

Hoy la familia vuelve a traerla por aumento de la fiebre, al igual que la tos seca, sin expectoración. Niegan atragantamientos y refieren buena deglución en domicilio. Niegan también infecciones respiratorias de repetición, desconociendo si existe RGE.

Constantes:
TA 86/55 mmHg.      FC 112 lpm.      Tª 38ºC     SatO2% 97-98% basal       FR 19 rpm.
Exploración física:
ACP: RsCsRs sin soplos. MV disminuido en campo izquierdo, prácticamente abolido en base izquierda.

Hallazgos ecográficos

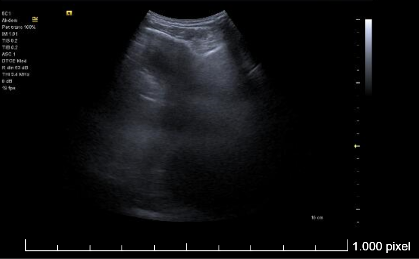
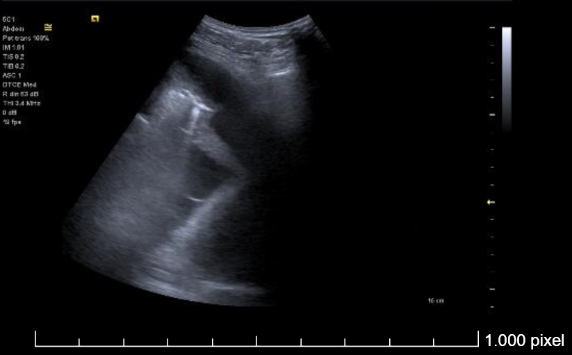
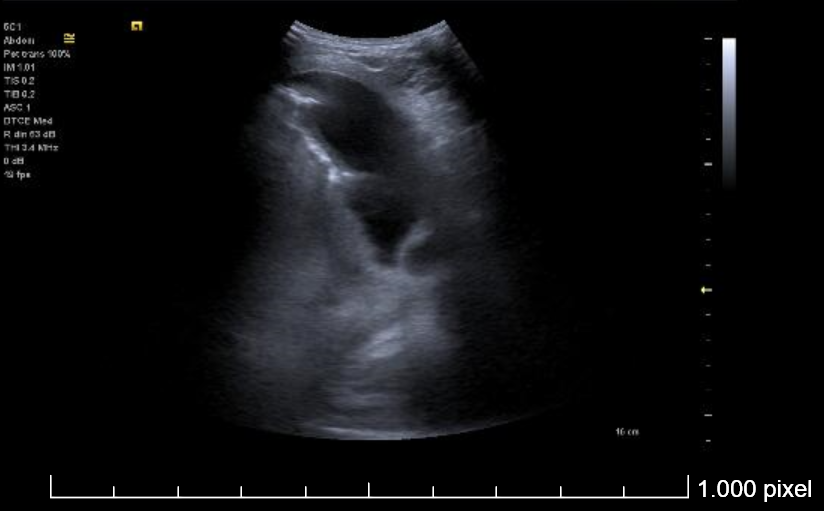
Ecografía torácica:
Derrame pleural izquierdo de 4 espacios intercostales, libre, hipoecogénico, sin ecos internos. Lóbulo pulmonar inferior izquierdo con imagen de patrón mixto (Intersticial y consolidación).

Se realiza toracocentesis diagnóstica y evacuadora con la paciente en decúbito lateral derecho. Se drenan un total de 550 cc en total de LP serohemático (pH en gasómetro 7.58).

Pruebas complementarias

  • Analítica: PCR 12.44Leucocitos 13000 (N 10400, L 2600).
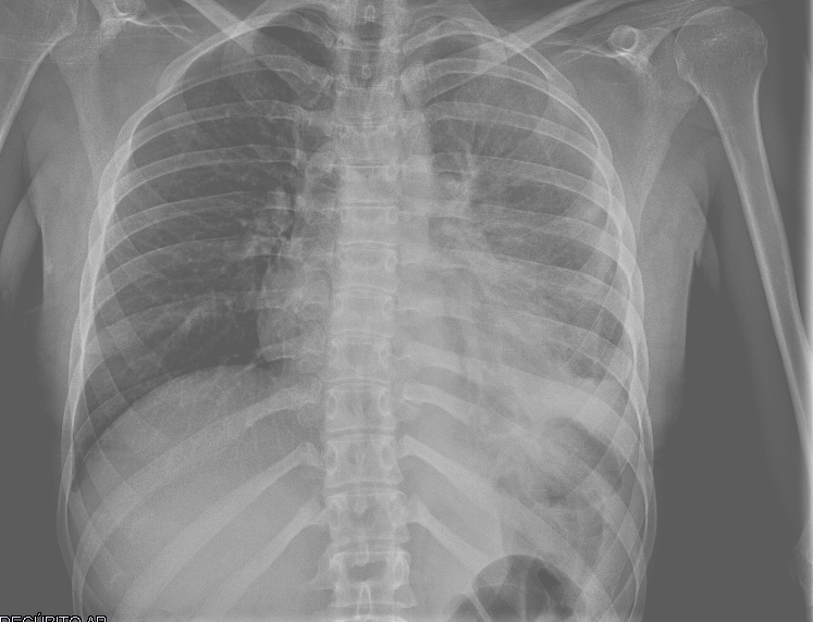
  • Rx tórax AP en decúbito supino: Condensación pulmonar parahiliar y paracardíaca izquierda que borra la silueta cardiaca con derrame pleural asociado de menos de 1/3 de dicho hemitórax.
  • Antigenuria: Neumococo y Legionella negativos.
  • Líquido pleural: Características bioquímicas de exudado (PMN 90%, ADA 15). No se detectan gérmenes en tinción de Gram. Cultivo aerobio y anaerobio negativo.
  • AP: Líquido de características inflamatorias.

Juicio clínico, diagnóstico diferencial, identificación de problemas

  1. Neumonía comunitaria izquierda por germen no filiado.
  2. Derrame paraneumónico no complicado.

Tratamiento y planes de actuación

  • Ingreso hospitalario en planta de Neumología.
  • Ceftriaxona + Levofloxacino IV.
  • Acetilcisteína diaria.
  • Atroaldo inh.

Evolución

Permaneció ingresada durante 10 días. En consulta de revisión posterior al alta, se evidenció recuperación completa del cuadro sin secuelas aparentes.

Conclusiones (y aplicabilidad para la Medicina de Familia)

La ecografía clínica, al ser una prueba dinámica, es útil en el diagnóstico y valoración de pacientes no colaboradores con sospecha de patología respiratoria.

-

 


Comunicaciones y ponencias semFYC: 2025; Comunicaciones: Casos clínicos. ISSN: 2339-9333

Autores

Salvador De La Rosa, Enrique Juan
CS San Antón. Cartagena. Murcia
Jory Cabezas, Jesus Rodrigo
CS San Antón. Cartagena. Murcia
Peña Doncel Moriano, José Antonio
CS San Antón. Cartagena. Murcia