V Jornadas de Ecografía de la semFYC
9 y 10 de febrero de 2024
Enfoque individual
Varón de 52 años, sano, sin hábitos tóxicos. Consulta por bultoma en axila izquierda que no molesta ni duele. Afebril sin asociar otros síntomas. Sin clínica infecciosa, ni pérdida ponderal ni sudoración nocturna. Niega viajes, picaduras o contacto con animales. Hace 6 meses paucisintomático, con hallazgo incidental de PCR elevada en dos analíticas consecutivas (73 y 102 respectivamente).
Exploración física: Normal salvo axila izquierda con varios bultomas palpables, de tamaño variable, no dolorosos, adheridos a planos profundos. No rubor ni calor local.
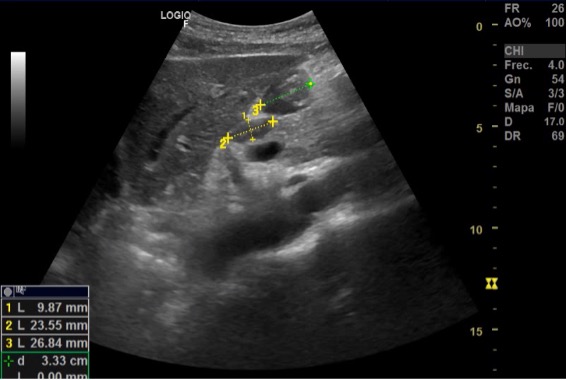
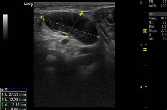
Hallazgos ecográficos
Ecografía: Conglomerado adenopático en axila izquierda. Adenopatía más grande (30 x 40 mm) hipoecogénica, redonda con pérdida del hilio graso, de aspecto infiltrativo y con captación Doppler. Adenopatías infraclaviculares de 27,5 x 12,2 y una glomerulación de 13,9 x 17,1 mm hipoecogénicas con pérdida de estructura normal. Adenopatías perihiliares hepáticas de 9 x 23 mm y otro 26 x 17; perihiliar esplénica de 12 x 4 x 5 mm, e inguinal izquierda de 9,3 x 7,8 mm.
Pruebas complementarias
Analíticas previas normales salvo PCR elevados en dos ocasiones 73 y 102 respectivamente.
Juicio clínico, diagnóstico diferencial, identificación de problemas
Diagnóstico sospecha: Neoplasia linfoproliferativa
Diagnóstico diferencial:
Tratamiento y planes de actuación
Derivación urgente del paciente a Medicina Interna.
Evolución
Ante las adenopatías objetivables, Medicina Interna amplió el estudio. Analíticamente descartaron patología infecciosa y el Body-TC informó adenopatías patológicas infra y supradiafragmáticas. Precisó 3 biopsias de la adenopatía axilar para confirmar el diagnóstico de Linfoma de Hodgkin. El paciente ha iniciado quimioterapia, pendiente de evolución y respuesta.
Las adenopatías son un motivo de consulta frecuente en Atención Primaria. Generalmente de origen infeccioso, en paciente < 30 años. A partir de los 40 años, aumenta la probabilidad de malignidad; más en localización supra y/o infraclavicular. Sin embargo, anamnesis y exploración física, son limitadas cuando se trata de adenopatías no palpables por tamaño o localización. La ecografía permite medir de forma precisa tamaños, localizar aquellas no palpables (p. ej: abdominales), y orientar ante características patológicas vs normales (forma alargada, bordes bien definidos, presencia de hilio hiperecogénico, corteza hipoecogénica y vascularización hiliar). Todo ello, ayuda a derivar precozmente una sospecha de malignidad, mejorando el pronóstico.