V Jornadas de Ecografía de la semFYC

9 y 10 de febrero de 2024

Comunicaciones: Casos clínicos

Estoy peor de la variz (póster)

Ámbito del caso

Urgencias.

Motivos de consulta

Dolor pierna.

Historia clínica

Enfoque individual

Sin alergias medicamentosas. Hipertenso y dislipémico. Fumador de 4-6 cigarros/día. Infarto agudo de miocardio (2013) con stent en coronaria derecha proximal y distal. Insuficiencia venosa crónica. Tratamiento: ácido acetilsalicílico 100 mg, ramipril 2,5 mg, amlodipino 5 mg, mononitrato de isosorbida 50 mg, carvedilol 25 mg, ezetimiba 10 mg y omeprazol 40 mg.

Varón de 57 años que acude por dolor y enrojecimiento en cara interna de miembro inferior izquierdo de unos 10 días de evolución. Su médico de familia le diagnosticó de trombosis venosa superficial (TVS) e inició enoxaparina 40 mg subcutáneo con mala evolución y progresión hasta región suprapoplítea.

Buen estado general. Consciente y orientado en las 3 esferas. Bien perfundido. Eupneico en reposo. Auscultación cardiopulmonar: rítmica con murmullo vesicular conservado. En cara interna de miembro inferior izquierdo, zona eritematosa y ligeramente edematosa con palpación de trayecto endurecido de territorio de vena safena interna. Varices bilaterales (Imagen 1).

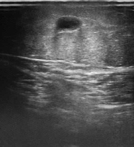
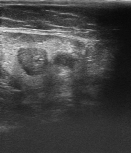
Hallazgos ecográficos

Ecografía de miembro inferior izquierdo: contenido hiperecogénico en todo el trayecto de la vena safena interna, no compresible. Sistema venoso profundo permeable sin datos de TVP (Imagen 2,3,4).

Pruebas complementarias

Analítica: Creatinina 0,90 mg/dl, glucosa 112 mg/dl, GOT 23 UI/L, GPT 21 UI/L, sodio 142 mEq/L, potasio 3,9 mEq/L, Cloro 107 mEq/L. Hemoglobina 14.3 g/dL, leucocitos 7,6 10^3/µL, plaquetas 197 10^3/uL, T. de Protrombina 104%, I.N.R 0,97.

Juicio clínico, diagnóstico diferencial, identificación de problemas

Tromboflebitis en todo el territorio de vena safena interna de miembro inferior izquierdo.
Trombosis venosa profunda (TVP), infección de la piel y tejido subcutáneo.

Tratamiento y planes de actuación

Tras descartar TVP, ausencia de signos clínicos, analíticos y ecográficos de alarma, se decide manejo ambulatorio con vendaje compresivo, antiinflamatorios vía oral e inicio de Enoxaparina 100 mg cada 12 h (dosis terapéuticas) durante 45 días.

Evolución

A los 15 días, ecografía de control con contenido trombótico todavía presente en todo el recorrido de safena interna. Derivación a Medicina Interna para estudio de trombofilia, quienes por extensión de TVS, realizaron terapia puente a acenocumarol durante 3 meses y suspensión de antiagregación. Actualmente, pendiente de valoración por cirugía vascular.

Conclusiones (y aplicabilidad para la Medicina de Familia)

El despistaje de trombosis venosa profunda a través de la ecografía realizada en urgencias es una herramienta imprescindible para un médico de urgencias.


Comunicaciones y ponencias semFYC: 2025; Comunicaciones: Casos clínicos. ISSN: 2339-9333

Autores

Borox Callejas, Marina
Urgencias Hospitalarias La Mancha Centro. Alcázar de San Juan