V Jornadas de Ecografía de la semFYC

9 y 10 de febrero de 2024

Comunicaciones: Casos clínicos

Gonartrosis: estatinas... (póster)

Ámbito del caso

Atención Primaria

Motivos de consulta

Gonalgia

Historia clínica

Enfoque individual

Varón de 64 años de edad sin alergias, HTA, DLP, sobrepeso, síncope en 2008 y apnea del sueño. En tratamiento con Lisinopril/Hidroclorotiazida 20/12,5 mg.
Consulta por gonalgia izquierda de características mecánicas con rigidez matutina sin dolor nocturno.
Exploración física: TA 130/78, peloteo positivo, dolor interlinea articular sin afectación ligamentaria o meniscal. No se palpan masas en cara posterior. Pulsos arteriales de extremidades inferiores (eeii) presentes y simétricos.

Hallazgos ecográficos

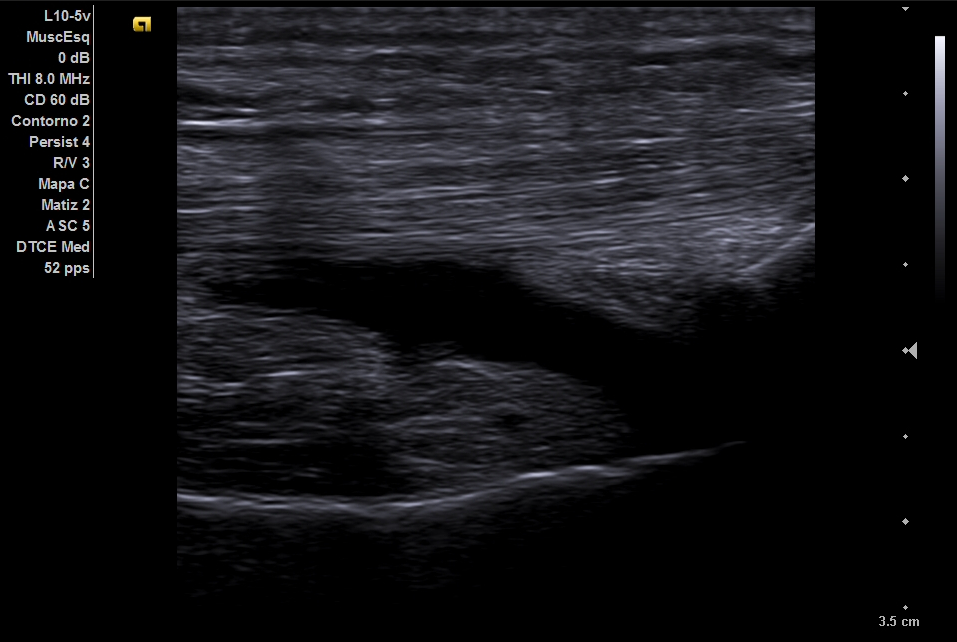
Ecografía de rodilla: imagen anecogénica presanserina sin captación. A nivel de arteria poplítea izquierda se detecta el signo del Yin y Yang.

Ecografía vascular eeii: Placa de ateromatosis poplítea izquierda con elevación de la velocidad pico sistólica (VPS) 133 cm/s, asimétrica respecto a contralateral (55 cm/s).

Pruebas complementarias

Índice Tobillo-Brazo (ITB) de 1,18 derecho y 1,20 izquierdo.
Rx Rodilla: signos degenerativos incipientes.

Juicio clínico, diagnóstico diferencial, identificación de problemas

Gonartrosis con derrame articular y Ateromatosis significativa de la Arteria Poplítea.
El signo ecográfico del Yin y Yang nos plantea la existencia de un aneurisma arterial o pseudoaneurisma. La presencia de un diámetro arterial mas de 1,5 el valor de la normalidad nos inclinarían en favor de aneurisma. La afectación de solo 1 capa y la presencia del cuello nos inclinaría por pseudoaneurisma. El flujo turbulento por una dilatación anatómica (bulto carotídeo) o patológica como el caso que nos ocupa nos orienta a placa de ateromatosis. Deben describirse las características de dicha placa (tamaño, posición, ecolucencia) y completar el estudio de las VPS y la morfología de las curvas arteriales. La realización del ITB nos permite descartar la presencia de Enfermedad Arterial Periférica.

Tratamiento y planes de actuación

El paciente presenta una placa de ateromatosis significativa en arteria poplítea izquierda con VPS de 133 cm/s, asimétrica al comparar con contralateral y resto de territorios.
Se pautan estatinas cambiando objetivo a prevención secundaria. Seguimiento ecográfico semestral.

Evolución

Buena evolución clínica con adherencia terapéutica y ejercicio físico.

Conclusiones (y aplicabilidad para la Medicina de Familia)

La ecografía muscular a nivel de rodilla es fundamental en consulta de Medicina de Familia. Completa la anamnesis y la exploración física. En cualquier territorio explorado, no solo debemos contestar la pregunta clínica planteada, como la existencia de derrame articular sino estar atentos a la patología que podamos detectar. El diágnóstico de ateromatosis significativa nos replantea el objetivo de tratamiento pasando a prevención secundaria.

 


Comunicaciones y ponencias semFYC: 2025; Comunicaciones: Casos clínicos. ISSN: 2339-9333

Autores

Roca Pujol, Jaime
CS Martí Serra. Marratxí
Mendieta Lagos, Mª Nieves
CS Platja de Palma. Palma de Mallorca