V Jornadas de Ecografía de la semFYC

9 y 10 de febrero de 2024

Comunicaciones: Casos clínicos

Hematuria y ecografía, de la mano (póster)

Ámbito del caso

Atención Primaria

Motivos de consulta

Hematuria.

Historia clínica

Enfoque individual

Varón de 70 años, fumador de 41,25 paquetes/año. Enolismo hasta hace 9 meses de 420 g/semana.

Sin alergias conocidas. Antecedente de hipertensión, diabetes mellitus tipo 2, dislipidemia mixta con esteatosis hepática, obesidad, polineuropatía alcohólica, enfermedad pulmonar obstructiva crónica y síndrome de apnea obstructiva del sueño.

Refiere hematuria macroscópica con coágulos durante la micción de 4 días de evolución. Explica urgencia miccional sin disuria, escozor, ni fiebre. Niega dolor abdominal ni otros síntomas de interés.

Exploración física anodina. Se explora por sistemas y tanto a nivel cardiorrespiratorio, como abdominal, así como la puño-percusión lumbar es normal.

Hallazgos ecográficos

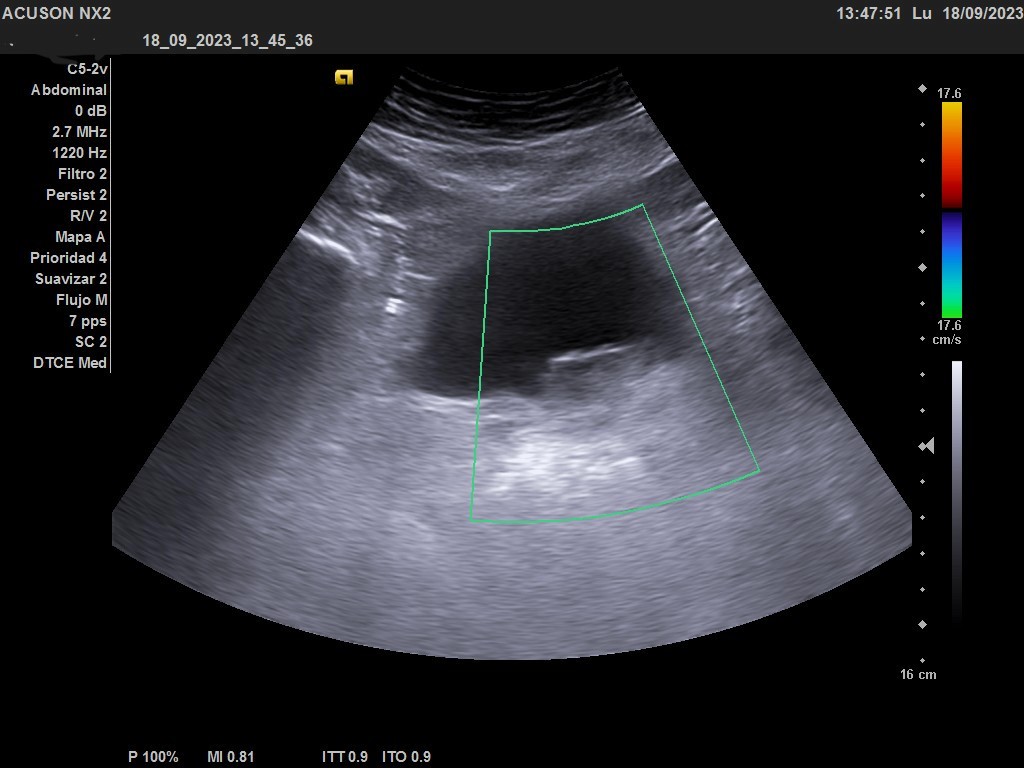
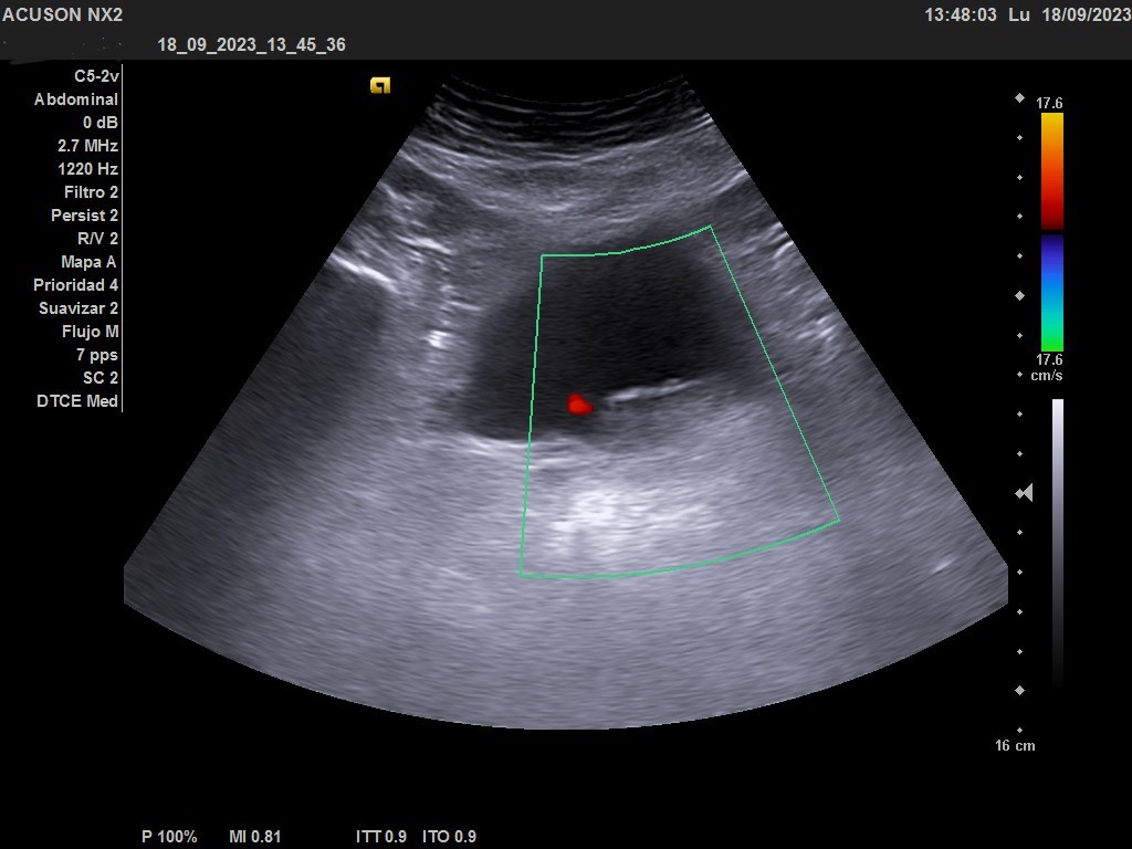
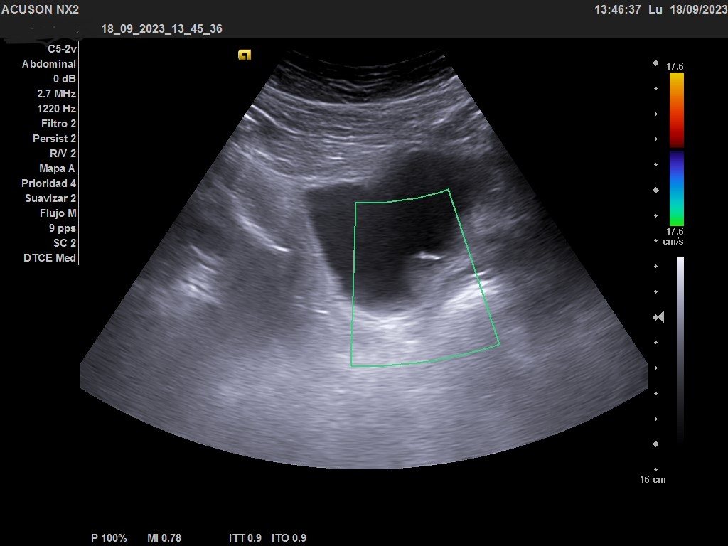
Ecografía clínica urológica: vejiga moderadamente replecionada. Se visualiza en pared posterior imagen hiperecogénica que no capta al Doppler color, de características sospechosas de malignidad. Riñones sin alteraciones en parénquima ni signos de hidronefrosis.

Pruebas complementarias

Se realiza tira reactiva de orina donde se encuentran hematíes +++/+++ sin presencia de leucocitos ni nitritos.

Juicio clínico, diagnóstico diferencial, identificación de problemas

Hematuria a estudio. Posible neoplasia de vejiga.

Diagnóstico diferencial con infección del tracto urinario, litiasis renal, traumatismo renal, cáncer de riñón, cáncer de próstata, glomerulonefritis, tratamiento con anticoagulantes.

Tratamiento y planes de actuación

Se solicita analítica completa con marcadores tumorales, citología de orina, ecografía urológica reglada y se remite a Urología con carácter preferente para estudio de hematuria con alta sospecha de malignidad.

Evolución

En la ecografía urológica reglada ambos riñones son de tamaño normal y parénquima conservado. La vejiga está replecionada, pero se identifica un engrosamiento nodular de 26 x 15 mm en la pared inferolateral izquierda, próxima al meato. Próstata de pequeño tamaño con un volumen de 7 cc.

Orientación diagnóstica de tumor vesical.

Urología indica resección transuretral de vejiga (RTU-v) y explica la necesidad de dilatar en quirófano e incluso la posibilidad de meatotomía o aplazamiento de la cirugía previa colocación de sonda vesical unas semanas.

Conclusiones (y aplicabilidad para la Medicina de Familia)

La ecografía clínica en Atención Primaria es de gran utilidad en el contexto de un paciente que presenta hematuria franca, ya que es una prueba de alta sensibilidad para el diagnóstico de tumores vesicales y nos ayuda a aumentar nuestra eficiencia en la toma de decisiones respecto a valorar derivaciones, solicitud de otras pruebas complementarias o cambios de tratamientos.

 


Comunicaciones y ponencias semFYC: 2025; Comunicaciones: Casos clínicos. ISSN: 2339-9333

Autores

Manzano Barroso, Antonio
UBS de s'Arenal. Palma de Mallorca
Martinez Iriarte, Carlos
UBS de s'Arenal. Palma de Mallorca
Sanchez Sanchez-villacañas , Irene
UBS de s'Arenal. Palma de Mallorca