V Jornadas de Ecografía de la semFYC
9 y 10 de febrero de 2024
Bultoma submandibular derecho, sin especificar tiempo de evolución y sin clínica infecciosa.
Enfoque individual
Mujer de 54 años diagnosticada de tabaquismo, hipercolesterolemia y EPOC. Con antecedentes familiares de padre intervenido de bocio y hermana con bocio nodular.
En la exploración física se objetiva AC y AP sin alteraciones, faringe hiperémica y se palpa bultoma indurado, no doloroso y móvil submandibular derecho. En este contexto se realiza ecografía en la consulta.
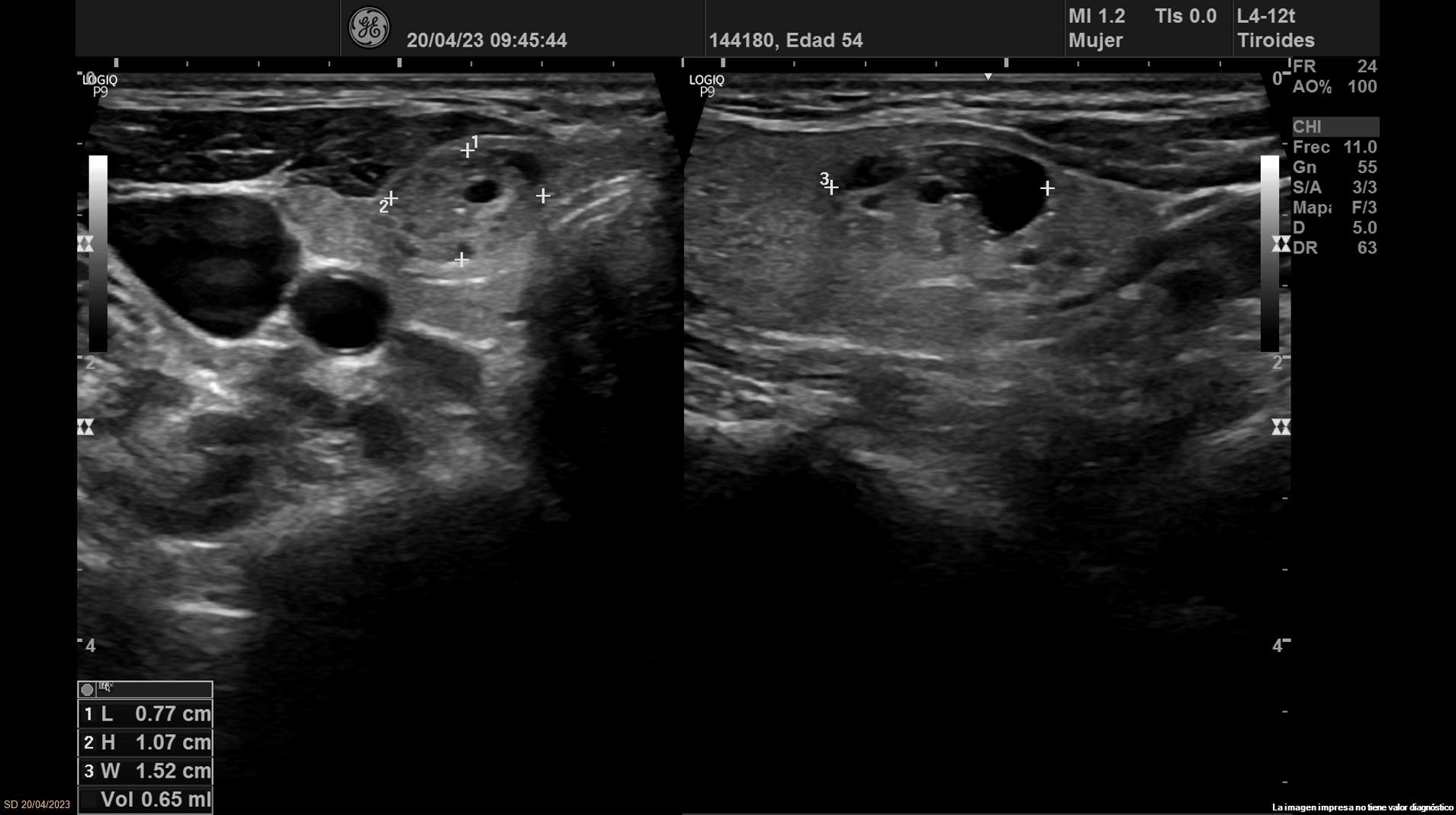
Hallazgos ecográficos
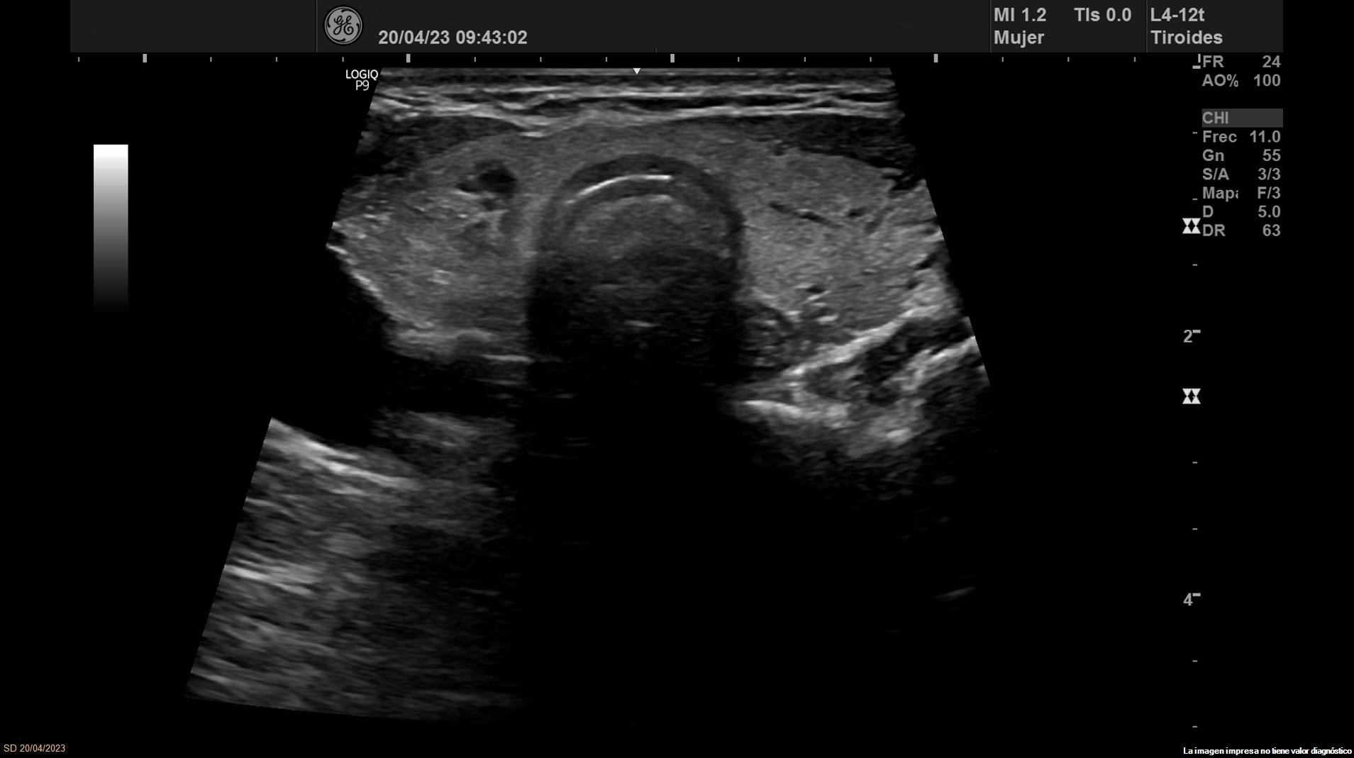
Se objetiva una adenopatía de 0,8 cm de aspecto benigno, ovalada y con bordes definidos. Además, se realiza ecografía tiroidea:
Pruebas complementarias
Se solicita analítica con hormonas tiroideas en rango. Resto sin alteraciones.
Juicio clínico, diagnóstico diferencial, identificación de problemas
Ante los hallazgos obtenidos, nos planteamos el diagnostico diferencial entre los nódulos tiroideos benignos y malignos. Se deriva a Endocrinología donde realizan nueva ecografía que concuerda con la nuestra.
Se solicita biopsia PAAF obteniendo el diagnóstico definitivo de bocio nodular normofuncionante con estudio citológico de nódulo dominante izquierdo compatible con neoplasia folicular (Bethesda 4).
Tratamiento y planes de actuación
Se propone tiroidectomía total.
Evolución
La paciente se encuentra asintomática a la espera de intervención quirúrgica.
La ecografía clínica es una herramienta que complementa la anamnesis y exploración física en nuestra consulta, facilitando y agilizando la toma de decisiones. Gracias a la integración de esta técnica somos capaces de realizar una primera orientación diagnóstica que permite, en casos como el expuesto, aumentar la seguridad a la hora de derivar a otras especialidades y, más específicamente, un tratamiento temprano y certero de lesiones de malignas.
A pesar de no estar indicada la ecografía tiroidea de forma rutinaria por la gran prevalencia de nódulos benignos, se recomienda en caso de bultoma cervical hacer un estudio más extensivo en el que se incluye este órgano.