V Jornadas de Ecografía de la semFYC
9 y 10 de febrero de 2024
Enfoque individual
Mujer de 43 años con sobrepeso que consulta de forma programada y asintomática porque ha acudido en lo que va de año 5 veces a urgencias del punto de atención continuada por dolor abdominal que mejora con analgesia. No ha presentado fiebre ni malestar general en ningón momento.
Se cita a la paciente a la semana siguiente en ayunas y se realiza ecografía de abdomen donde se observa litiasis biliar.
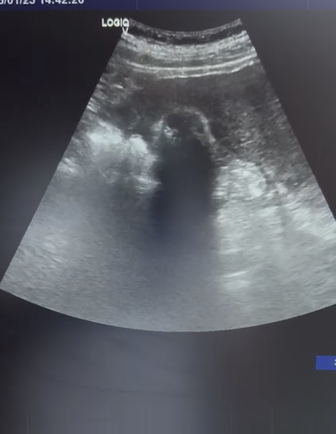
Hallazgos ecográficos
Se observa la vesícula biliar con varias litiasis en su interior y sombra acústica posterior. No se observan signos de colecistitis ni dilatacion de la vía biliar.
Pruebas complementarias
No se realizan otras pruebas.
Juicio clínico, diagnóstico diferencial, identificación de problemas
Se realiza diagnóstico diferencial con pancreatitis, cólico renal derecho. Pero finalmente se orienta como posibles cólicos biliares de repetición que se confirman en ecografía.
Tratamiento y planes de actuación
Dada la presencia de litiasis biliares se deriva a la paciente a cirugía general, donde repiten la ecografía y se constata el mismo diagnóstico. Finalmente es intervenida quirúrgicamente de forma programada realizándose una colecistectomía.
Evolución
Buena evolución tras la colecistectomia.