V Jornadas de Ecografía de la semFYC
9 y 10 de febrero de 2024
Atención Primaria
Dolor cervical localizado en esternocleidomastoideo derecho.
Enfoque individual
Mujer de 42 años. Acude a consulta refiriendo dolor cervical a la palpación de esternocleidomastoideo derecho de tres meses de evolución. Informe de ecografía privada: lesión mixta, hiperecogénica, sin calcificaciones de unos 7 x 5 x 6 cm, señal de flujo Doppler, TIRADS 2. Adenomegalias inflamatorias benignas adyacentes a glándulas submandibulares.
Hallazgos ecográficos
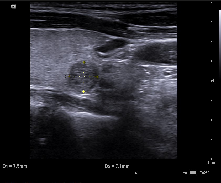
Lóbulo derecho de ecoestrucutra normal. Presenta nódulos hipoecogénicos, pero de características espongiformes y vascularización periférica en situación posteroinferior de 7,5 mm de diámetro, bien definido. TIRADS 2.
Pruebas complementarias
Analítica sanguínea que incluye estudio de tiroides sin hallazgos patológicos.
Juicio clínico, diagnóstico diferencial, identificación de problemas
Nódulo tiroideo, TIRADS 2.
Diagnóstico diferencial: carcinoma medular de tiroides, carcinoma papilar de tiroides.
Tratamiento y planes de actuación
Se decide iniciar seguimiento por nuestra parte cada año por tranquilidad de la paciente, manteniendo el seguimiento reglado bianual recomendado por endocrinología.
Evolución
Se consulta con endocrinología y comentan que tratándose de nódulos subcentimétricos sin criterios PAAF recomiendan seguimiento con ecografía cada dos años. Tras un año se realizará seguimiento ecográfico de los nódulos tiroideos. Se inicia tratamiento antiinflamatorio con lo que la paciente mejora su dolor cervical.
Este sencillo caso es un claro ejemplo de la gran utilidad que tiene la ecografía para el medico de familia. Con su uso podemos diagnosticar y plantear el seguimiento de los nódulos tiroideos, basándonos también en una buena historia clínica y en una exploración clínica acertada. Siguiendo las instrucciones de la herramienta TIRADS generamos un plan de seguimiento y derivación si es necesario, e incluso podemos aportar calma y tranquilidad a aquellos pacientes que no entienden muy bien lo que esta pasando.
