Comunicaciones: Casos clínicos

Pues menuda rotura fibrilar... (Oral)

Ámbito del caso (Atención Primaria, servicios de Urgencias o atención domiciliaria)

Atención Primaria.

Motivos de consulta

Dolor e impotencia funcional pierna derecha con aumento de volumen y eritema de pantorrilla.

Historia clínica

Antecedentes personales relevantes, anamnesis, exploración física y lugar que ocupa en ella la ecografía

Mujer de 44 años, que presenta desde hace 2-3 semanas dolor e impotencia funcional en la pierna derecha con aumento de volumen y eritema de pantorrilla ipsilateral que en un inicio se trató como rotura fibrilar para la que se pauta reposo y tratamiento analgésico oral. Ha mejorado muy levemente pero persiste dolor en el hueco popliteo e impotencia funcional.
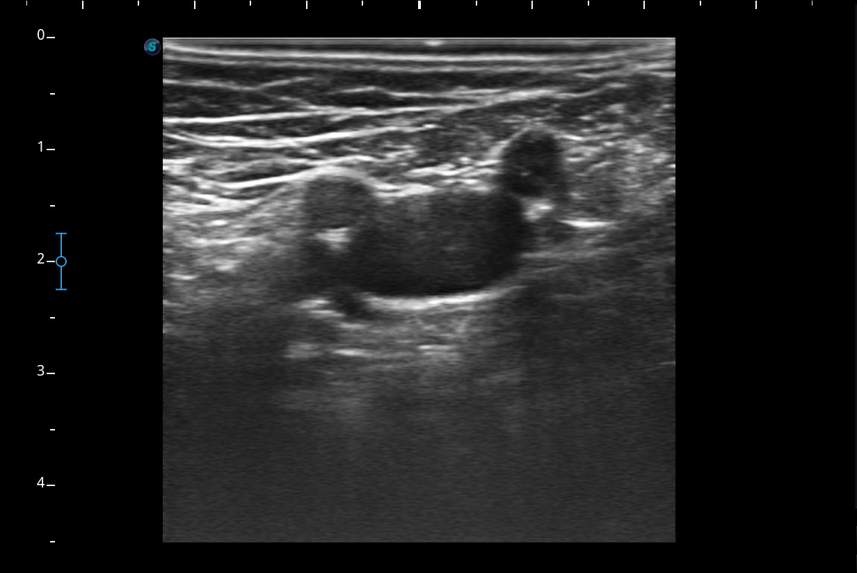
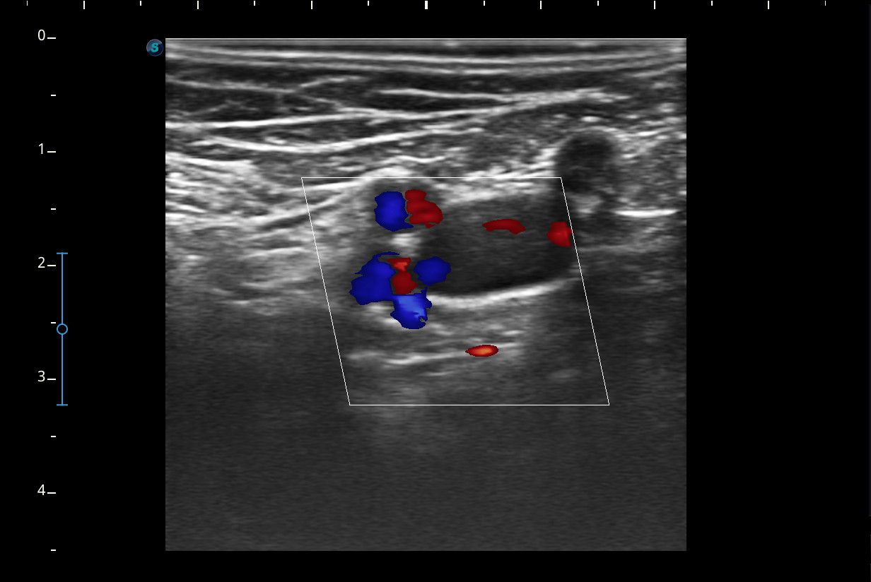
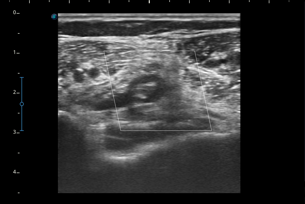
Se realiza ecografía del Miembro inferior derecho.

Descripción de los hallazgos ecográficos y las imágenes más relevantes para la resolución del caso

A nivel del hueco poplíteo se visualiza presencia de trombosis de la vena poplítea, no así en localizaciones proximales.

Otras pruebas complementarias realizadas (si existen)

No.

Juicio clínico, diagnóstico diferencial, concordancia con el hospital (en su caso)

Dolor e impotencia funcional pierna derecha con aumento de volumen y eritema de pantorrilla.

Decisiones adoptadas: tratamiento, planes de actuación

Se deriva a urgencias hospitalarias.

Evolución y seguimiento

En urgencias se pauta tratamiento con heparina subcutánea y se cita en Medicina Interna, donde posteriormente cambian tratamiento a dabigatrán por petición de la paciente dada la baja tolerancia a los pinchazos y cita para revisión en 3 meses.

Conclusiones y aplicabilidad para la medicina de familia

Se puede diagnosticar trombosis venosa profunda en una consulta de atención primaria sin necesidad de derivación y ahorrar tiempo al paciente así como pautar tratamiento sin demora.
 
 

Comunicaciones y ponencias semFYC: 2025; Comunicaciones: Casos clínicos. ISSN: 2339-9333