Comunicaciones: Casos clínicos

¿Solo un catarro? (Póster)

Ámbito del caso (Atención Primaria, servicios de Urgencias o atención domiciliaria)

Atención Primaria.

Motivos de consulta

Paciente hombre de 46 años acude a la consulta por presentar dolor y aumento de tamaño en región cervical anterior.

Historia clínica

Antecedentes personales relevantes, anamnesis, exploración física y lugar que ocupa en ella la ecografía

Niega antecedentes médicos de interés ni tratamiento crónico. Refiere que el dolor comenzó 2-3 días antes junto con fiebre, sin disfagia ni disnea asociadas. Comenta que previamente presentó una infección de vías respiratorias altas.  

En la exploración física se encuentra hemodinámicamente estable, sin alteraciones en la auscultación cardiopulmonar. En la palpación cervical se detecta un nódulo de 3-4 cm de diámetro, doloroso, no adherido a planos profundos. No se palpan adenopatías cervicales ni supraclaviculares.

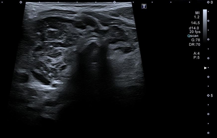
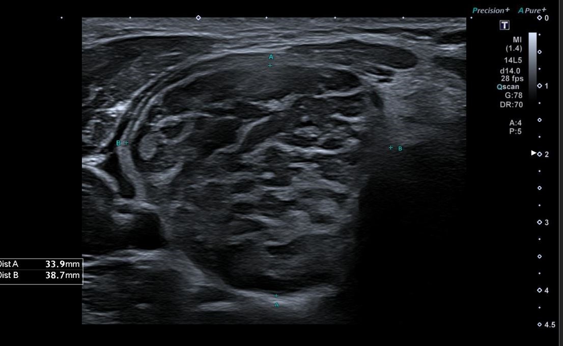
Descripción de los hallazgos ecográficos y las imágenes más relevantes para la resolución del caso

Una vez realizada la anamnesis y la exploración física, se decide realizar una ecografía clínica en la consulta, donde se objetiva un aumento difuso de tamaño del lóbulo tiroideo derecho (33,9 x 38,7 mm), levemente hipoecogénico, con áreas anecoicas en su interior y adenopatías asociadas. Se aplica Doppler color resultando positivo.

Otras pruebas complementarias realizadas (si existen)

No se realizan otras pruebas complementarias.

Juicio clínico, diagnóstico diferencial, concordancia con el hospital (en su caso)

El juicio clínico es de una tiroiditis aguda, por lo que se deriva al paciente a urgencias hospitalarias. En urgencias se solicita una analítica sanguínea en la que destaca Leucocitos 7,34 x 103 y PCR 68 mg/L; y una ecografía reglada donde se informa de «tiroides aumentado de tamaño a expensas de lóbulo tiroideo derecho con alteración de la ecogenicidad del parénquima que sugiere proceso infiltrativo afectado al lóbulo derecho, istmo y región anterior del lóbulo izquierdo, no pudiendo apreciar etiología infiltrativa o tumoral».

Decisiones adoptadas: tratamiento, planes de actuación

Una vez obtenidos estos resultados se inicia cobertura antibiótica con Amoxicilina/ácido clavulánico y se decide ingreso en Endocrinología.

Evolución y seguimiento

Durante la hospitalización el paciente presenta buena evolución, sin alteraciones en la función tiroidea y con descenso progresivo de los reactantes de fase aguda, por lo que es dado de alta con el diagnóstico de Tiroiditis aguda/subaguda.

Conclusiones y aplicabilidad para la medicina de familia

En la consulta de Atención Primaria la aproximación diagnóstica inicial está basada en los hallazgos obtenidos en la anamnesis y la exploración física, ya que el acceso a pruebas complementarias es limitado. Por este motivo, disponer de un ecógrafo en la consulta es tan importante, ya que aporta información en tiempo real que puede llegar a ser fundamental en la toma de decisiones.

 


Comunicaciones y ponencias semFYC: 2025; Comunicaciones: Casos clínicos. ISSN: 2339-9333

Autores

González de la Mano, Sara
CS General Fanjul. Madrid
Ibarra Eztala, Miren
Summa 112. Getafe
Perales González, Fernando
CS Los Rosales. Madrid