V Jornadas de Ecografía de la semFYC

9 y 10 de febrero de 2024

Comunicaciones: Casos clínicos

Tengo un bulto en la mama, ¿es grave? (póster)

Ámbito del caso

Consulta de Atención Primaria.

Motivos de consulta

Varón de 78 años, refiere presentar tumoración dolorosa a la palpación en mama derecha de 1 mes de evolución, con aumento progresivo de tamaño. Niega fiebre, telorrea ni telorragia. Niega episodios previos similares.  

Historia clínica

Enfoque individual

Entre sus antecedentes personales destaca alergia a Penicilinas, dislipemia sin necesidad de tratamiento farmacológico y Adenocarcinoma de próstata Gleason 6 (3+3) en 2019 tratado con radioterapia. Entre sus antecedentes familiar consta una hermana intervenida de carcinoma de mama. En el momento actual realiza tratamiento habitual con Clonazepam y Tamsulosina. En la exploración física se objetiva ginecomastia bilateral, palpando nódulo mamario retroareolar de consistencia elástica en mama derecha, sin alteraciones en complejo areola-pezón. No se palpan adenopatías axilares ni supraclaviculares.

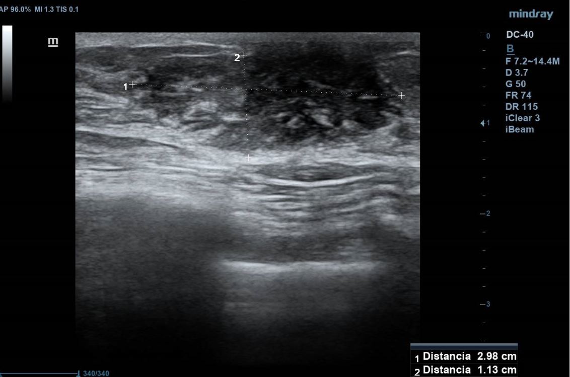
Hallazgos ecográficos

Se realiza ecografía clínica en consulta visualizando tejido de aspecto nodular de 2,98 x 1,13 cm por encima de la capa muscular, con mapa color negativo, compatible con tejido fibroglandular mamario.

Pruebas complementarias

Se solicita analítica sanguínea, sin objetivar alteraciones en la misma.

Juicio clínico, diagnóstico diferencial, identificación de problemas

Ante el diagnóstico de sospecha de tumoración mamaria en varón se deriva para valoración por Servicio de Cirugía General y Digestiva.

Tratamiento y planes de actuación

Tras realizar una valoración inicial, para completar estudio solicitan mamografía y ecografía mamaria bilateral reglada, donde se describe «Hallazgos compatibles con ginecomastia retroareolar bilateral de predominio derecho. BI-RADS 2: hallazgos benignos», recomendando seguimiento clínico.

Evolución

Finalmente, analizando los hallazgos clínicos y los resultados obtenidos en las pruebas complementarias, se decide dar de alta por parte del Servicio de Cirugía General y Digestiva y continuar control por médico de Atención Primaria, considerando necesario derivar de nuevo en caso de aumento de ginecomastia.  

Conclusiones (y aplicabilidad para la Medicina de Familia)

Gracias a la presencia de un ecógrafo en la consulta de Atención Primaria se ha podido realizar una aproximación diagnóstica más precisa y tomar las decisiones necesarias de forma más dirigida. Casos como este demuestran el creciente valor de la ecografía como complemento a la anamnesis y la exploración física.


Comunicaciones y ponencias semFYC: 2025; Comunicaciones: Casos clínicos. ISSN: 2339-9333

Autores

Ibarra Eztala, Miren
CS María Ángeles López Gómez. Leganés
Rondon Sarmiento, Liliana
CS María Ángeles López Gómez. Leganés
Muñoz-Mingarro Molina, Juan
CS María Ángeles López Gómez. Leganés