Comunicaciones: Casos clínicos

Testículo hinchado no doloroso. A propósito de dos casos. ¿Qué puede ser? (Póster)

Ámbito del caso (Atención Primaria, servicios de Urgencias o atención domiciliaria)

Atención Primaria.

Motivos de consulta

Caso 1: Hombre, 31 años que consulta por tumefacción de 3 semanas evolución de testículo izquierdo. Hace dos meses notaba la tumefacción, que aparecía post esfuerzos, se reducía espontáneamente. No presenta dolor ni náuseas ni fiebre. No antecedentes previos (AP).
Caso 2: Hombre, 59 años que consulta casualmente por aumento teste izquierdo hace 2-3 meses no doloroso. Analítica normal. AP migraña.
Ambos niegan traumatismo escrotal previo.

Historia clínica

Antecedentes personales relevantes, anamnesis, exploración física y lugar que ocupa en ella la ecografía

En la exploración de ambos se palpan testículos derechos de características normales, sin masas ni puntos dolorosos, y en el escroto izquierdo se advierte un mayor tamaño, con cierta dureza y no doloroso. No signos inflamatorios. Transiluminación negativa.

Descripción de los hallazgos ecográficos y las imágenes más relevantes para la resolución del caso

Estudio ecográfico testicular muy accesible sin preparación:
Caso 1: Aumento del volumen escrotal a expensas de la ocupación del hemiescroto izquierdo por grasa mesentérica, sin implicación de asas a través de la OII del canal inguinal (hernia inguinoescrotal izquierda indirecta)
Caso 2: En escroto izquierdo imagen anecoica correspondiente a hidrocele a tensión, con coexistencia de trabeculaciones y loculaciones en el interior de hidrocele. 

Otras pruebas complementarias realizadas (si existen)

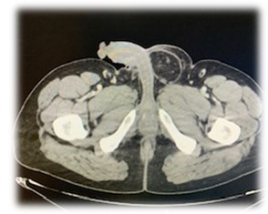
Caso 1: se solicita un TC abdominal: Hernia inguinal indirecta izquierda, de contenido graso, sin signos de complicación. Se programa de forma prioritaria la intervención de Hernia inguinoescrotal izquierda H3F1.
Caso 2: se solicita ecografía reglada.

Juicio clínico, diagnóstico diferencial, concordancia con el hospital (en su caso)

Diagnósticos diferenciales:

  • Hidrocele: acumulación de líquido anormal entre las capas parietal y visceral de la túnica vaginal que rodea los 2/3 anteriores del testículo, es la causa más frecuente de aumento de tamaño escrotal indoloro, y puede ser congénito o adquirido, por traumatismos (25-50% de casos), tumores testiculares (10% de estos se presentan con hidrocele, a tener en cuenta especialmente en pacientes de 30 a 40 años de reciente aparición como es nuestro caso), orquiepididimitis y por torsión testicular. También se puede observar en pacientes con ascitis o anasarca.
  • Hematoceles debidos a traumatismos.
  • Hernias escrotales, cuando están incarceradas, no fluctúan con el Valsalva y pueden presentar transiluminación positiva, por lo que pueden llevar a confusión.
  • Varicoceles: son dilataciones tortuosas de las venas del plexo pampiniforme.

Decisiones adoptadas: tratamiento, planes de actuación

Ambos se derivan a segundo nivel.

Evolución y seguimiento

Ambos se programan para cirugía prioritaria.

Conclusiones y aplicabilidad para la medicina de familia

La ecografía clínica en manos de médicos de primaria tiene una importancia relevante en estos casos, ya que la detección y derivación adecuada mejora todo el circuito asistencial.


Comunicaciones y ponencias semFYC: 2025; Comunicaciones: Casos clínicos. ISSN: 2339-9333

Autores

Ballester Torrens, Mar
CS Centro Ramon Turro. Barcelona
González Prieto, Ma Isabel
CS Centro Ramon Turro. Barcelona
Ventura Fontanet, Mireia
CS Centro Ramon Turro. Barcelona