Comunicaciones: Experiencias

Transformando la medicina de familia: longitudinalidad y ecografía al servicio del paciente (Póster)

Objetivos de la experiencia

Ilustrar cómo, la ecografía, combinada con una característica tan distintiva de la Atención Primaria como es la longitudinalidad, mejora la atención del paciente permitiendo una gestión más efectiva de las enfermedades y una atención más humana, segura y centrada en el paciente. 

Descripción de la experiencia

Tras observar distintos casos en los que gracias a la unión de algo intrínseco a la atención Primaria como es la longitudinalidad en la atención de los pacientes y una herramienta tan accesible como la ecografía, se decidió realizar distintas sesiones formativas para concienciar al resto del equipo de los diversos usos de esta herramienta en la atención a nuestros pacientes. 

  1. Hombre de 82 años que durante consulta de revisión tras caída evidenciamos disnea y taquipnea: TEP agudo bilateral central. 

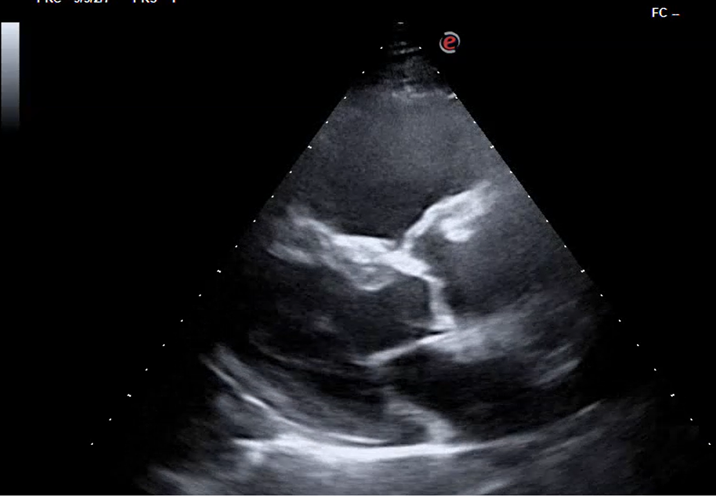
  1. Hombre de 84 años con disnea progresiva de 6 meses de evolución: neoplasia pulmonar estadio IV con metástasis óseas. 

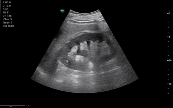
  1. Manejo de cólico nefrítico con hidronefrosis grado II en hombre de 63 años y situación familiar compleja que impide manejo hospitalario.  

Conclusiones

La longitudinalidad es una característica distintiva de la Atención Primaria. La incorporación de la ecografía como herramienta diagnóstica en este ámbito mejora la capacidad diagnóstica, facilita la atención preventiva y la detección primaria de problemas de salud, y contribuye a la gestión de enfermedades agudas y crónicas. Esto reduce el sobrediagnóstico y la iatrogenia, mejorando la calidad de vida de los pacientes.

Aplicabilidad

Esta complementación mejora significativamente la calidad del cuidado, proporcionando diagnósticos más precisos y fomentando la relación personalizada entre médico y paciente. Esto no solo mejora las competencias técnicas del personal sanitario, sino que también potencia la satisfacción y los resultados de salud de la comunidad. 

 


Comunicaciones y ponencias semFYC: 2025; Comunicaciones: Experiencias. ISSN: 2339-9333

Autores

Palacio Manchón, María
CS Las Ciudades. Getafe, Madrid
Rodríguez Pascual, Nieves
CS Las Ciudades. Getafe, Madrid
Plumed Velilla, Manuela
CS Las Ciudades. Getafe, Madrid
Tejedor Molledo, Alejandra
CS Las Ciudades. Getafe, Madrid