Comunicaciones: Casos clínicos

«Utilidad de la ecografía clínica en un traumatismo a propósito de un caso» (Póster)

Ámbito del caso (Atención Primaria, servicios de Urgencias o atención domiciliaria)

Servicio de Urgencias.

Motivos de consulta

Dolor costal izquierdo tras accidente de tráfico.

Historia clínica

Enfoque individual: antecedentes personales, anamnesis, exploración, pruebas complementarias, etc.

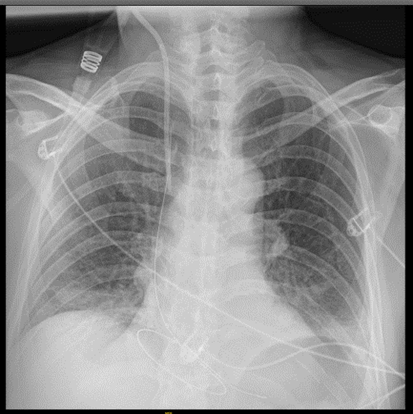
Hombre de 63 años sin antecedentes personales relevantes que consulta por dolor costal en relación con accidente de moto a baja velocidad (20 km/h). Exploración física: Valorado en el servicio de urgencias hospitalario con dolor a punta de dedo en parrilla costal izquierda a nivel de 8º-9º arcos costales anteriores izquierdos, sin deformidad ni volet costal. Hemodinámicamente estable a su llegada con saturación basal de O2 al 98%. Auscultación cardiopulmonar normal y abdomen sin defensa ni signos de irritación peritoneal. Pruebas complementarias: Dado el mecanismo lesional se solicita radiografía de tórax donde se objetivan fracturas costales no desplazadas de 8º-9º-10º arcos costales izquierdos. Se solicita análisis de sangre y se deja en observación para control del dolor.

Juicio clínico, diagnóstico diferencial, identificación de problemas

Rotura esplénica traumática.

Tratamiento y planes de actuación.

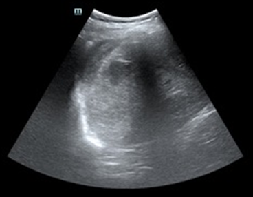
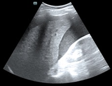
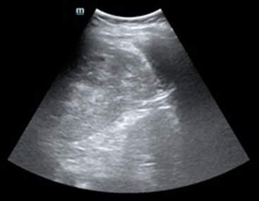
Tras varias horas en observación el paciente comienza con tendencia a la hipotensión. Permanece en observación y monitorización persistiendo hipotensión arterial con buena ventilación bilateral en la auscultación pulmonar. En la exploración abdominal presenta dolor y defensa a la palpación profunda en hipocondrio izquierdo. Se realiza Ecografía clínica a pie de cama del paciente descartando hemoneumotótax y derrame pericárdico; al explorar el abdomen se objetiva líquido libre en espacio de Morrison y eje espleno renal, con imagen compatible con rotura del parénquima esplénico. Gasométricamente se objetiva anemización con caída de cifras de Hb de 15,7 g/dl en análisis inicial a 13,8 g/dl. Se solicitan pruebas cruzadas, se reservan hemoderivados y se contacta con cirugía para traslado del paciente a quirófano.

Evolución

Se traslada a quirófano para esplenectomía urgente.

Conclusiones y aplicabilidad para la medicina de familia

En el caso de nuestro paciente la ecografía ha sido de vital importancia para el diagnóstico de sus lesiones y la toma de decisiones en el manejo terapéutico. Este caso clínico pone de manifiesto la importancia de la ecografía clínica a pie de cama del paciente en el ámbito de urgencias como complemento a la anamnesis y la exploración física del paciente. Nos permite mejorar y complementar el enfoque diagnóstico así como optimizar la toma de decisiones para el manejo terapéutico.

 


Comunicaciones y ponencias semFYC: 2025; Comunicaciones: Casos clínicos. ISSN: 2339-9333

Autores

Suarez Luis, Yaiza
Hospital Nuestra Señora de la Candelaria. Santa Cruz de Tenerife
García López, Cristina
Hospital Nuestra Señora de la Candelaria. Santa Cruz de Tenerife