Comunicaciones: Casos clínicos

¿Y si no es un cólico nefrítico? (Póster)

Ámbito del caso (Atención Primaria, servicios de Urgencias o atención domiciliaria)

Atención Primaria.

Motivos de consulta

Dolor abdominal.

Historia clínica

Antecedentes personales relevantes, anamnesis, exploración física y lugar que ocupa en ella la ecografía

Paciente hombre de 62 años consulta por clínica de dolor abdominal epigástrico tipo cólico irradiado a espalda, acompañado de sudoración, de dos semanas de evolución. No disuria. No fiebre. Escasa mejoría clínica con pauta de analgesia,
Exploración física: Abdomen doloroso a la palpación en epigastrio, masa pulsátil centroabdominal. Puñopercusión renal bilateral negativa.

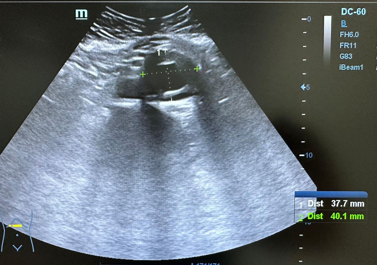
Descripción de los hallazgos ecográficos y las imágenes más relevantes para la resolución del caso

Ecografía clínica AP con los hallazgos siguientes: Presenta dilatación aneurismática de aorta infrarrenal fusiforme con trombo en su interior que disminuye la luz aórtica con diámetro 37,7 x 40,1 mm. Ambos riñones con forma y tamaño normales, buena diferenciación córtico medular sin signos de uropatía obstructiva.

Otras pruebas complementarias realizadas (si existen)

Se realiza tira de orina en consulta, con resultado negativo.

Juicio clínico, diagnóstico diferencial, concordancia con el hospital (en su caso)

Aneurisma de Aorta Infrarrenal.

Diagnóstico diferencial: Cólico renal. Colecistitis aguda. Úlcera gástrica.

Decisiones adoptadas: tratamiento, planes de actuación

Ante la clínica y los hallazgos ecográficos descritos, se derivó a urgencias hospitalarias para descartar disección aórtica. Realizan TC de abdomen con contraste informado de: Aneurisma de aorta infrarrenal con diámetro máximo de 48 mm de eje craneocaudal sin signos de ruptura inminente. La AMI sale del saco aneurismático. Extensión hasta porción proximal de ambas ilíacas. Aneurisma de arteria ilíaca común derecha de 17 x 15 mm. Dilatación de arteria ilíaca común izquierda de 10 x 11 mm.

Evolución y seguimiento

Valorado por cirugía vascular, hallazgo casual de aneurisma de aorta infrarrenal sin datos de complicación y sin tamaño quirúrgico. El dolor descrito por el paciente no se justifica por el aneurisma. Pauta de AAS 100 mg/24 horas y Atorvastatina 40 mg/24 h; abstinencia tabáquica. Seguimiento ambulatorio con ecografía de control.

Conclusiones y aplicabilidad para la medicina de familia

La ecografía clínica AP se muestra como una herramienta más en nuestra práctica clínica, permitiendo, en este caso, el diagnóstico diferencial de dolor abdominal, y evitando así un diagnóstico tardío y/o complicación fatal de una patología vascular.


Comunicaciones y ponencias semFYC: 2025; Comunicaciones: Casos clínicos. ISSN: 2339-9333

Autores

Torres Osorio, Julio Asdruval
CS Barrio de la Salud. S/C de Tenerife
Armas Rodríguez, Jennifer Josefina
CS La Cuesta. S/C de Tenerife
Couros Frías, Ana Rosa
CS Barrio de La Salud. S/C de Tenerife