Comunicaciones: Casos clínicos

Ya he venido varias veces por lo mismo (Póster)

Ámbito del caso (Atención Primaria, servicios de Urgencias o atención domiciliaria)

Atención Primaria.

Motivos de consulta

Dolor abdominal.

Historia clínica

Antecedentes personales relevantes, anamnesis, exploración física y lugar que ocupa en ella la ecografía

AP: HTA, consumo de alcohol moderado, quistes renales (madre y hermano).
Hombre de 48 años que acude a consulta programada por presentar dolor abdominal de meses de evolución, tipo cólico, de moderada intensidad, que comienza en flanco derecho y se irradia a espalda, acudiendo en varias ocasiones al servicio de Urgencias del propio centro, en su última visita refiere además vómitos de contenido alimentario y luego bilioso con restos hemáticos.

Al examen físico: TA: 139/90 mmHg, FC: 86 lpm, Temp: 35,9 ºC.
Abdomen: doloroso a la palpación profunda a nivel de epigastrio e hipocondrio derecho, Murphy dudoso, se palpa hepatomegalia de 2-3 traveses, no datos de irritación peritoneal.

Se indica analítica y ecografía abdominal para ampliar estudio.
Analítica: a destacar TGC: 160 mg/dL, TGP: 38 U/L, TGO: 102 U/L, GGT: 66 U/L. Hepatitis A pasada.

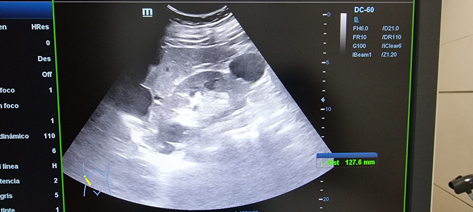
Descripción de los hallazgos ecográficos y las imágenes más relevantes para la resolución del caso

Ecografía abdominal: Hepatomegalia esteatósica difusa leve con múltiples imágenes anecoicas con refuerzo posterior, sin vascularización, compatible con poliquistosis. Riñón derecho con múltiples imágenes anecoicas en polo superior e inferior con refuerzo posterior. Sin signos de uropatía obstructiva. Riñón izquierdo con presencia de múltiples imágenes anecoicas compatibles con poliquistosis.

Otras pruebas complementarias realizadas (si existen)

Ionograma: normal.

Juicio clínico, diagnóstico diferencial, concordancia con el hospital (en su caso)

JD: Poliquistosis hepatorrenal.
DF: Colelitiasis, Colecistitis, Nefrolitiasis, Pielonefritis.
Concordancia: sí.

Decisiones adoptadas: tratamiento, planes de actuación

Se deriva a Nefrología.

Evolución y seguimiento

En seguimiento por Nefrología con función hepática y renal conservadas y control ecográfico cada 6 meses.

Conclusiones y aplicabilidad para la medicina de familia

La PHA es una enfermedad común a dos trastornos hereditarios autosómicos dominantes. Principalmente se asocia con lo que se conoce como Poliquistosis renal autosómica dominante (PQRAD). También puede presentarse de forma aislada sin asociarse a PQRAD, como Poliquistosis hepática autosómica dominante. La mayoría de los pacientes se mantienen asintomáticos hasta la cuarta o quinta década de su vida o hasta que los quistes son demasiado grandes produciendo clínica, para su diagnóstico la prueba de elección es la ecografía abdominal. En este caso se ha podido diagnosticar desde AP y derivado a consulta especializada. No obstante, no debemos olvidar el importante papel que desempeñamos como médico de familia en cuanto a explicar al paciente su patología y los cuidados dietéticos que debe tener para mantener un buen control de esta y de su calidad de vida.

 


Comunicaciones y ponencias semFYC: 2025; Comunicaciones: Casos clínicos. ISSN: 2339-9333

Autores

Alvarez Gutiérrez, Anays
CS Salamanca. Santa Cruz de Tenerife
Torres Osorio, Julio Asdruval
CS Barrio La Salud. Santa Cruz de Tenerife
Núñez Medina, Margarita
CS Salamanca. Santa Cruz de Tenerife